안녕하세요 레몬입니다.
내가 다니고 있는 학교에서는 3-2~4-1 1년동안 Capstone Design(CD)을 진행한다.
졸업 전 1년의 기간동안 프로젝트를 진행하고, 결과물을 내서 논문을 작성해 발표하는 것이 목적이다.
내가 다니는 학과가 전자공학과이긴 하지만, 배우면 배울수록 난 하드웨어 쪽 머리는 글러먹었다는걸 깨닫게 되어 소프트웨어 과목만 듣게 되었고, 결국 CD도 Computer Vision과 Robotics 전공의 교수님께 지도받게 되었다.
아직까지는 내가 AI, 딥러닝에 대한 지식이 거의 없다시피해서 조금 내용이 어렵긴 하지만 신청한 것에 후회는 하지 않는다. 교수님을 잘 만나 정말정말 덕을 많이 보고있는 것 같다... 지도교수님 얘기는 나~~~중에 기회가 된다면 하는걸로 하고, 연구 주제에 대한 얘기로 넘어가보겠다.
우선 갑자기 이런 글을 쓰는 이유는 나를 위한 기록용도 있고, 혹시 누군가에게 도움이 될 수도 있지 않을까 싶어서이다. (혹시라도 같은 수업 듣는 누가 보게될까 무섭긴하다. 이런 주제로 진행하는게 나밖에 없어서..)
원래 학기중에는 귀찮아서 블로그에 거의 손을 안대는데, 간만에 시간이 좀 남기도 하고 어느정도 방향이 잡힌 것 같아 포스팅을 시작하게 됐다.
주제를 선정하기까지

학기가 시작하고 어느새 9주가 지났다. 반 이상이 지난 것인데, 이제야 주제 선정 글을 올리는 이유는 실제로 이번주에 겨우 주제를 어느정도 잡았기 때문이다...
수업이 AI융합 Capstone Design이고, 애초에 컴퓨터비전 분야가 재밌을 것 같아 신청했으니 컴퓨터비전과 AI를 이용할 수 있는 좋은 주제가 필요했다.
주제를 찾는 과정을 그냥 8주 내내 진행해온건데, 그간 정말 많이도 헤매면서 얻은 경험을 공유해보려한다.
여기까지 쓸 때만 해도 이번학기 9주차였는데 방치하다가 다시 오니 기말고사가 코앞이다. 그새 주제도 새로 잡아서 다시 써야됨..
맨 처음 교수님께서 연구 주제 각자 고민해보세요~ 하고 던져줬을 때가 정말 막막했다. 애초에 컴퓨터비전에 대해 아는게 없으니 이게 어디에 쓰일 수 있을지 모르겠고, 가끔 생각났다 치면 이미 존재하는 흔한 아이디어였다.
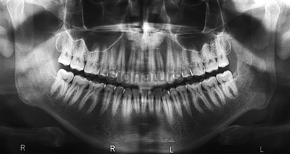
그러다 이거 괜찮겠다 싶어 생각해간 주제가 치과 X-ray 사진을 학습해 치아 질병을 감지하는 모델이었다.

이미지 형태도 획일화돼있지, 해야할 작업도 단순하지, 실용성 있지... 생각만 했을때 진짜 좋은 아이디어같아서 나름 자신있게 들고갔다.
지금 생각해보면 그 때 당시의 한참 모자란 검색 능력때문에 그냥 2주를 날린 것 같다.. 5년전에 생각했으면 좋았을 것 같다는 피드백을 듣고 제대로 찾아보니 훌륭한 성능의 모델을 만든 논문이 여럿 나왔다. 진작 검색해보고 아이디어를 좀 걸러냈어야 했는데..

다음은 휴대폰 파손 감지/측정 모델이다.
얼마 전 친구가 쏘카를 이용하다 차가 조금 파손됐는데, 일처리가 느려 맘에 안들었다는 얘기를 듣고 생각해본 모델이다. 실제로 쏘카에서는 차량 파손을 자동으로 감지하기 위해 AI를 사용하고 있기도 했다.
뭐 이미 자동차는 있으니.. 다른 렌탈제품의 파손을 감지해볼까? 싶었지만 흔히 렌탈로 사용하는 정수기, 매트리스, 비데.... 전부 파손되기는 애매한 제품이다.
물론 아예 파손이 안되는건 아닐테니 이런 렌탈 제품들의 파손 정도를 측정해주는 모델이 있다면야 좋겠지만, 잘 파손이 되지 않는 제품이다보니 충분한 양의 Dataset을 모을 수가 없었다. 컴퓨터 비전을 활용할 건데 Dataset이 없다는건 말이 안되므로 그나마 고른게 휴대폰이었다.
실제로 파손보험이라는 키워드를 검색해보면, 자동차와 휴대폰 이외 제품에 대한 파손보험은 나오질 않는다. 그만큼 드물게 일어나는 일이라 사람들이 찾지 않는다는 뜻이다.

뭐 어쨌든 주제를 얼추 정했고, 휴대폰 액정 깨진 사진이야 널려있으니 700장의 이미지를 다운받고 라벨링 노가다를 한 뒤에 YOLO를 활용해 Google Colab 상에서 훈련도 시켜봤다.
어느정도 인식을 하는게 신기했는데, Precision 값이 50점도 못넘는 안타까운 결과를 보였다.. 더 찾아본 결과 캐롯보험이라는 보험사에서 최근 AI를 도입한 휴대폰 파손 보험 상품도 냈고, 딱히 맘에 와닿는 주제도 아니였던지라 그냥 실습 한번 해봤다 치고 이 주제도 버리게 됐다.
사실상 이번 학기 내내 주제 선정만 했는데, 학기중이라 귀찮은 와중에 그 내용을 한 포스트에 다 담으려니 완성이 될 기미가 안보여서 대충 시간 되는만큼 쓰고 끊어서 올리기로 했다.
여기까지 온것만 해도 벌써 8주차까지 온거니까 거의 절반쯤에서 끊긴듯..?
8주차까지 한거 정리했는데 이거밖에 없다니.. 간략하게 정리했다지만 이번 학기 날로먹긴 했다.
댓글